Kathleen Griffin and Bobby Pinkner are stand-up comedians who have been friends for over 20 years. They have worked together on several projects, includin...
"Search new ticket view tickets wiki browse source" encompasses a range of actions related to managing and accessing information within a ticketing system...
Teal Travis Obituary (Geneva, NY) refers to the death announcement and life story of an individual named Teal Travis who passed away in Geneva, New York.
Joey Zimmerman Net Worth refers to the total value of the financial assets and liabilities owned by the renowned American football coach, Joey Zimmerman, ...
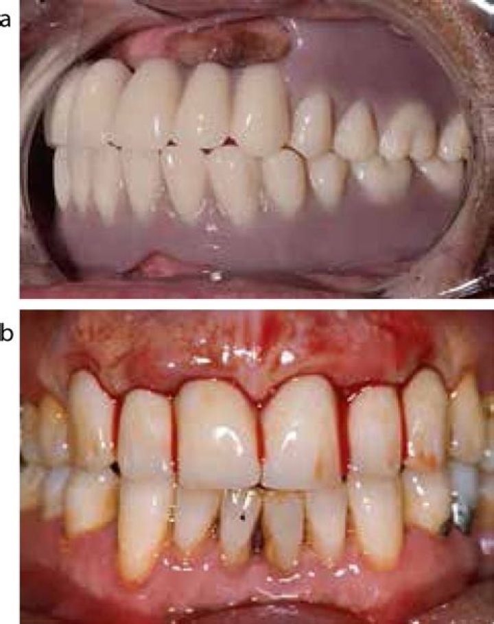
"Day 3 after immediate dentures" refers to the third day after having immediate dentures placed. Immediate dentures are a type of denture that is placed i...
Amy Stueckroth is a notable figure in the field of education, renowned for her expertise in curriculum development and instructional design. Her work has ...
Philadelphia Cricket Club membership cost refers to the fees associated with joining the prestigious Philadelphia Cricket Club (PCC), a private social and...
JoBeth Buckley is an American actress best known for her roles in the films "ER" (1994-2009), "The West Wing" (2000-2006), and "Friday Night Lights" (2006...
Keith Anthony Dozier, an American entrepreneur and investor, has made a significant impact in the business world. Dozier is the founder and CEO of Dozier ...
Mara Gay is an American journalist who is currently a member of the New York Times editorial board. She is the first black woman to hold this position. Ga...